动漫疯

学院要闻

学院要闻
当前位置 : 动漫疯 > 学院要闻 > 正文
刘亮亮老师连续在生物医学和健康信息学国际顶级期刊上发表最新研究成果

发布时间 :2023-11-09点击量:

本网讯(通讯员 郑光)近日,动漫疯 刘亮亮老师课题组连续在生物医学和健康信息学国际顶级期刊IEEE Journal of Biomedical and Health Informatics (简写IEEE JBHI) 上发表了四篇论文。系列研究成果为计算机和医学图像交叉研究领域的发展提供了新思路。

这四篇论文包括两篇脑卒中疾病研究、一篇脑胶质瘤分割研究和一篇关于乳腺癌医学病理图像方面的研究。这些研究都集中在医学图像分割、分类和处理领域,探索了如何利用计算机视觉和人工智能技术来辅助医学诊断。这些技术的应用可以帮助医疗专业人员更准确地诊断疾病和指导治疗,具有非常重要的意义。

相关研究成果总结如下:

1. Hybrid contextual semantic network for accurate segmentation and detection of small-size stroke lesions from MRI

本研究的第一作者是动漫疯 的刘亮亮老师,河南农业大学是第一单位。本研究开发了一种混合上下文语义的病灶分割网络(HCSNet),该网络可以准确、同时地从磁共振图像中分割和检测小型脑卒中病灶。HCSNet继承了编码器-解码器架构的优势,并应用了一种新的混合上下文语义模块,该模块通过跳过连接层从空间和通道上下文语义特征中生成高质量的上下文语义特征。此外,还提出了一个混合损失函数来优化小尺寸不平衡病变的HCSNet。大量实验表明,HCSNet在分割和检测小尺寸脑卒中病灶的能力方面优于目前先进的方法。

2. Simulated quantum mechanics-based joint learning network for stroke lesion segmentation and TICI grading

本研究的第一和通讯作者是动漫疯 的刘亮亮老师,河南农业大学是第一单位。刘亮亮老师课题组构建了基于模拟量子力学的联合学习网络(SQMLP-net),用于脑卒中病灶分割和TICI等级评估研究。该模型利用单输入双输出混合网络解决了两个任务之间的相关性和异构性。SQMLP-net采用分割分支和分类分支的结构。两个分支共享一个编码器,该编码器提取并共享用于分割和分类任务的空间和全局语义信息。两个任务都通过一个新的联合损失函数进行优化,该函数学习这两个任务之间的任务内和任务间权重。本研究发现,TICI分级的严重程度与脑卒中病灶分割的准确性之间存在负相关。本研究为该疾病的临床研究提供了新思路,也为精准治疗提供了技术支持。

3. SASG-GCN: self-attention similarity guided graph convolutional network for multi-type lower-grade glioma classification

本研究的第一作者是动漫疯 的刘亮亮老师,熊蜀峰教授是通讯作者,河南农业大学是第一单位。刘亮亮老师课题组提出了一种自注意相似性引导图卷积网络(SASG-GCN),用来从核磁共振图像中完成多分类多类型胶质瘤的分类。课题组成员使用卷积深度信念网络和基于自注意相似性的方法分别在3D MRI水平上构造所构造图的顶点和边。在双层GCN模型中进行了多分类实验。该方法优于其他几种最先进的分类方法。课题组还深入讨论和分析不同胶质瘤之间的差异。

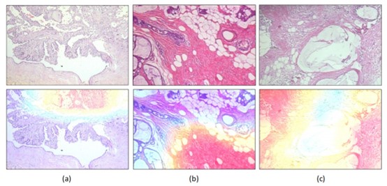
4. Collaborative transfer network for multi-classification of breast cancer histopathological images

本研究的主要工作由课题组研究生王颖完成,第一作者是动漫疯 的刘亮亮老师,河南农业大学是第一单位。课题组构建了基于协同迁移学习的乳腺癌多分类神经网络(CTransNet),用于乳腺癌组织病理学图像多分类研究。CTransNet由迁移学习主干分支、残差协同分支和特征融合模块组成。迁移学习分支采用预先训练的DenseNet结构从ImageNet中提取图像特征。残差分支以协作的方式从病理图像中提取目标特征。使用优化这两个分支的特征融合策略来训练和微调CTransNet。实验表明,CTransNet在三个公开的乳腺癌数据集上均取得了优异的性能,表明CTransNet具有良好的泛化性能。本研究为该疾病在多中心临床研究方面提供了技术支持。

IEEE Journal of Biomedical and Health Informatics(简写IEEE JBHI)是公认的生物医学和健康信息学领域的TOP期刊,在全球27种医学信息学(Medical Informatics) SCI收录期刊中排名第1(TOP1);全球57种数学与计算生物学(Mathematical & Computational Biology)SCI收录期刊中排名第4(TOP4);在全球109种计算机科学及交叉学科应用(Computer Science, Interdisciplinary Applications) SCI收录期刊中排名第12(TOP12);在全球156种计算机科学及信息系统(Computer Science, Information Systems)SCI收录期刊中排名第15 (TOP15);中国科学院Medical Informatics和Mathematical & Computational Biology小类一区,2023年影响因子为7.7。

编辑:郑光;签审:蔡镔;签发责任人:苏楠